Casos de Estética e Implantes dentales
Casos de Estética e Implantes dentales
Aqui encontrarás casos de éxito en los tratamientos de nuestros pacientes


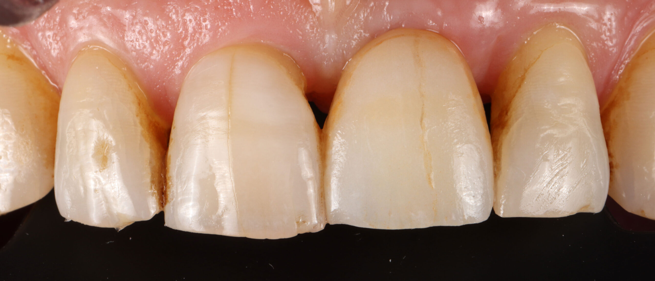
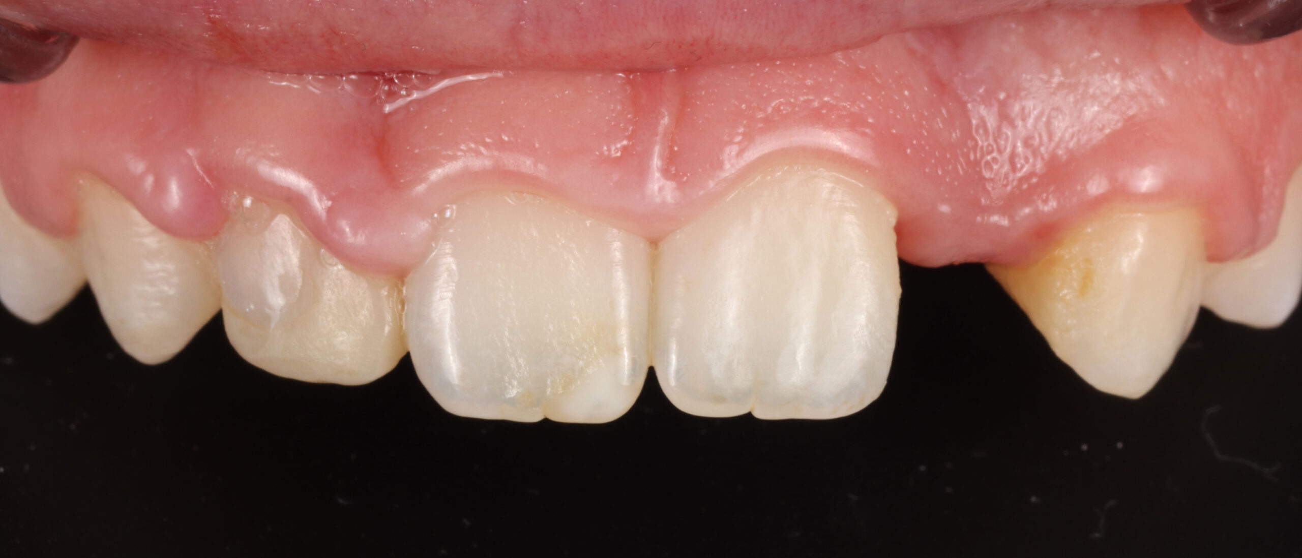
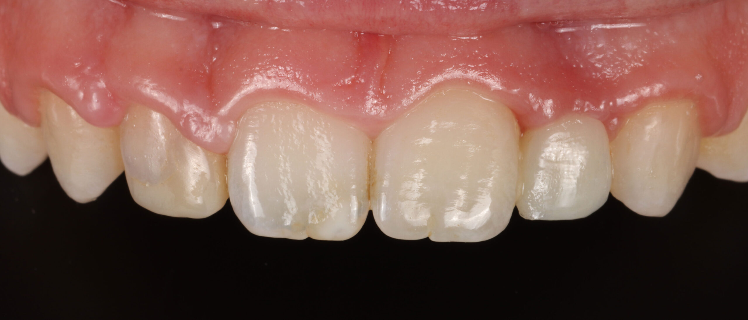
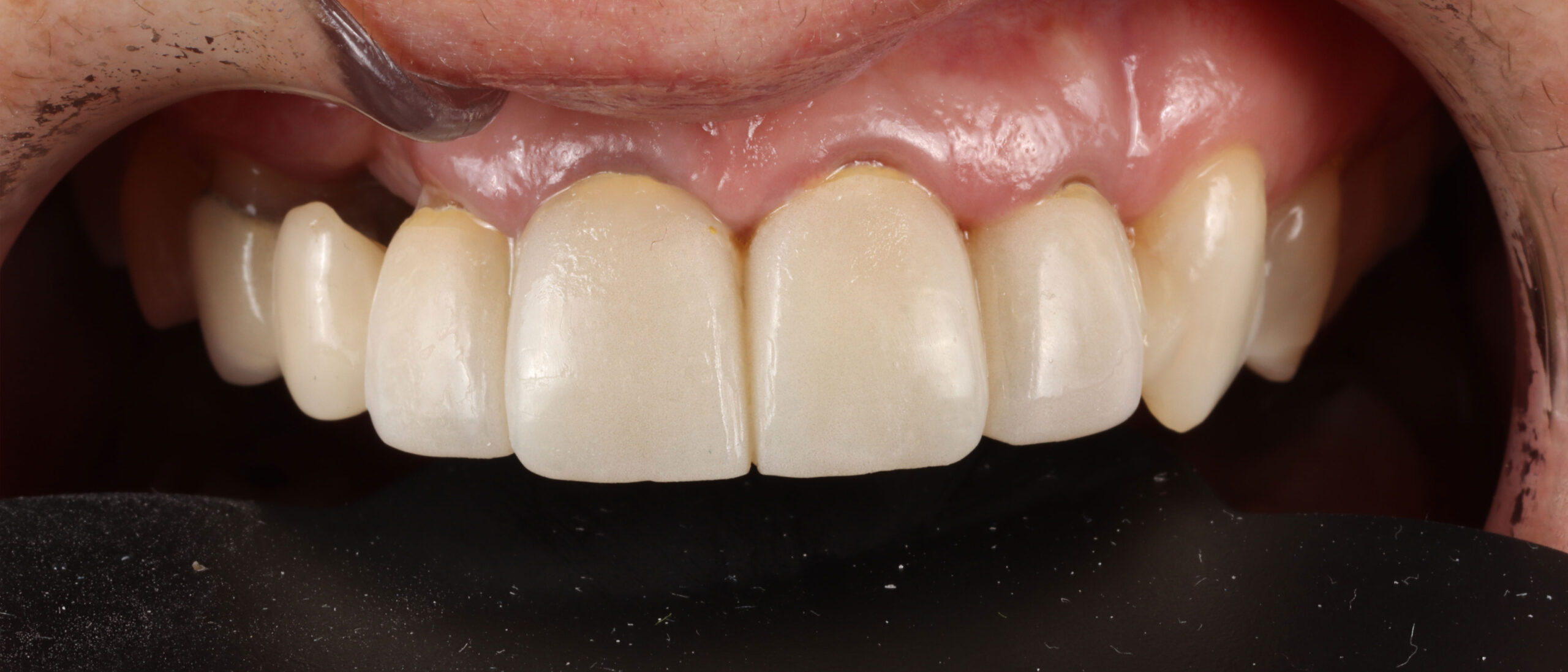
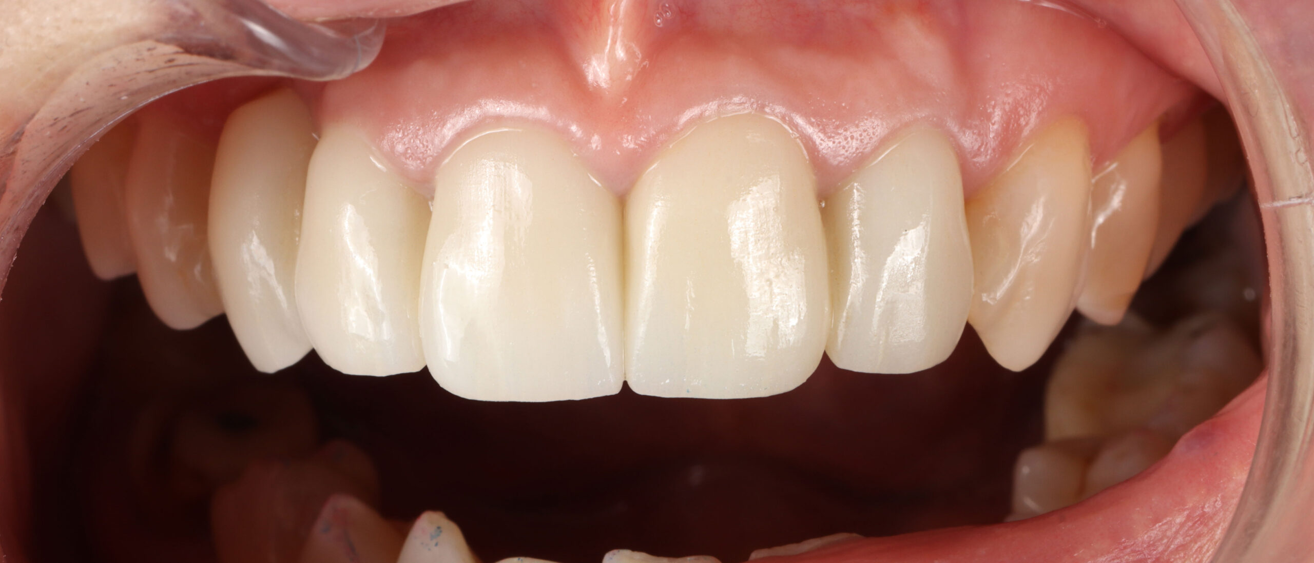
Rehabilitación completa de desgastes severos y ausencia de piezas mediante coronas e implantes dentales


Rehabilitación completa de desgastes severos mediante facetas e incrustaciones de porcelana


Rehabilitación completa con implantes superiores


Blanqueamiento y facetas de composite superiores


Blanqueamiento y reconstrucciones de composite estéticas en los incisivos centrales


Diseño de sonrisa con facetas de porcelana superiores


Blanqueamiento y coronas en los incisivos superiores


Implante estético en incisivo central superior izquierdo


Puente Maryland en incisivo lateral superior izquierdo


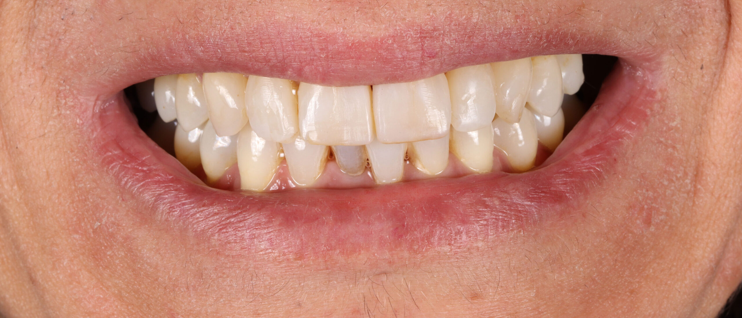
Cambio de puente antiguo desajustado


Rehabilitación completa de desgastes severos mediante facetas e incrustaciones de porcelana


Blanqueamiento y cierre de diastema con reconstrucción de composite estética


Rehabilitación completa de desgastes severos mediante facetas e incrustaciones de porcelana


Cambio de fundas antiguas mediante puente del sector anterosuperior e injerto de encía